Ihr Gesundheitsexperte
gesundinformiert.de c/o The Digital Architects GmbH
Frankfurter Str. 87, Atelierhaus 14
97082 Würzburg
kontakt@thedigitalarchitects.de
0931.452285822
Hinweis
Ihr Ansprechpartner
Wenn Sie über Ihren Browser oder Ihr Smartphone die Standortfreigabe für Ihren Browser und diese Seite zulassen, zeigen wir Ihnen an dieser Stelle den Gesundheitsexperten aus Ihrer Region an, den Sie gerne für weitere Informationen kontaktieren können.
Wird trotz Standortfreigabe keine Apotheke angezeigt, befindet sich in Ihrem Umkreis momentan leider noch kein Gesundheitsexperte aus unserem Netzwerk. Wir arbeiten jedoch daran, unser Angebot kontinuierlich zu erweitern. Nutzen Sie gerne auch unseren Apotheken-Finder für Ihre Suche.
Wenn die Halswirbel knacken – so passen Sie gut auf Ihr Genick auf
18. Juni 2025Sie drehen Ihren Kopf und dann knackt es plötzlich. Doch was steckt dahinter? Ist das Knacken im Genick harmlos oder gefährlich?
Viele Menschen kennen das Gefühl: Sie drehen Ihren Kopf und dann knackt es plötzlich im Nacken. Manchmal ist das Geräusch ganz leise, manchmal deutlich hörbar und kann einem einen Schrecken einjagen. Doch was steckt dahinter? Ist das Knacken im Genick harmlos oder gefährlich? Kann dabei etwas beschädigt werden? Lesen Sie weiter, um einen Überblick über mögliche Gründe zu bekommen und auf welche Warnsignale Sie achten sollten.
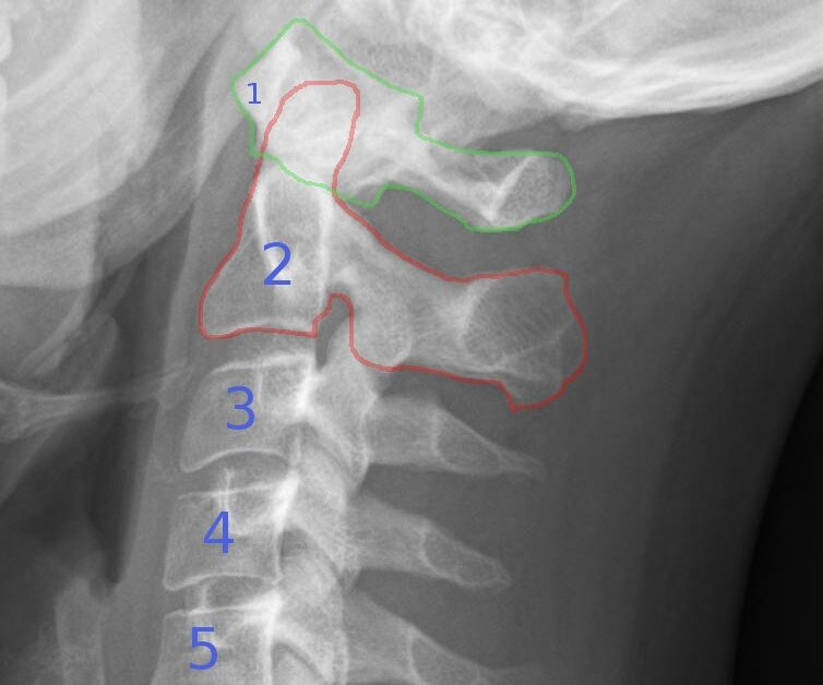
Aufbau der Halswirbelsäule
Die Halswirbelsäule (HWS) besteht aus den obersten 7 Wirbeln der Wirbelsäule. Die obersten beiden, Atlas und Axis, sind im Bild grün bzw rot markiert. Die Halswirbelsäule ist leicht nach vorne gebogen (physiologische Lordose), was normal ist.
Die häufigsten Verletzungen der HWS passieren durch Unfälle. Aber auch Abnutzung durch Fehlhaltungen, das Alter, und andere Ursachen können zu Problemen mit dem Nacken führen.
Neben Nackenschmerzen ist ein knackendes Geräusch beim Drehen des Kopfes eine der häufigsten Beschwerden.

Ursachen: Warum Wirbel knacken
Gasblasen in den Gelenken der Halswirbelsäule
Eine häufige Ursache für knackende Gelenke ist die sogenannte "Kavitation". In den Gelenken befindet sich eine schützende Flüssigkeit (Synovialflüssigkeit), die bei Bewegung unter Druck gerät. Dabei können sich kleine Gasblasen in der Gelenkflüssigkeit bilden, die beim Bewegen zerplatzen und dabei ein Knackgeräusch verursachen. Dies ist meist unbedenklich und ist meistens auch die Ursache für knackende Finger.
Solange keine Schmerzen auftreten, ist das meistens harmlos.
Verspannungen der Muskeln
Auch Muskelverspannungen sind oft der Grund für Knackgeräusche im Nacken. Langes Scrollen am Smartphone (Handynacken), ein eine unergonomische Haltung bei der Arbeit oder am Computer oder eine ungünstige Schlafposition (z.B. durch ein unpassendes Kopfkissen) verkürzen Muskeln oder verhärten Sehnen. Diese gleiten dann beim Bewegen ruckartig über die Knochen und verursachen dabei ein Knackgeräusch.
Gelenkblockaden oder Fehlstellungen
Vor allem, wenn Sie das starke Bedürfnis haben, den Nacken knacken zu lassen und das zu mehr Entspannung führt, kann das Knacken auch auf eine leichte Fehlstellung der Wirbel im Nacken oder Blockaden hinweisen. Die kleinen Wirbelgelenke in der Nackenwirbelsäule können minimal verschoben sein oder blockieren. Beim Lösen (z. B. durch abrupte Kopfbewegung) entsteht dann ein Knacken. Hier wäre eine osteopathische oder chiropraktische Behandlung sinnvoll.

Arthrose und abgenutzte Gelenke
Bei Menschen ab 40–50 Jahren kann das Knacken beim Kopfdrehen auch durch die Abnutzung der Halswirbelsäule entstehen. Durch den Verschleiß über die Jahre wird der Gelenkknorpel dünner und die Beweglichkeit verändert sich. Manchmal hängen Knackgeräusche auch damit zusammen. Zusätzliche Hinweise auf eine Arthrose sind Schmerzen bei Belastung und ein Gefühl der Steifheit vor allem am Morgen.
Hypermobilität
Manche Menschen haben besonders dehnbare Gelenke, weil sie zum Beispiel unter einem Hypermobilitätssyndrom leiden. Diese Überbeweglichkeit führt dazu, dass die Bänder die Wirbel weniger stabil halten. Dadurch können sie leichter "verrutschen" und beim Umpositionieren ein Knackgeräusch auslösen.
Ist es gefährlich, wenn der Hals knackt?
Während manche Menschen genüsslich absichtlich mit ihren Gelenken knacken, macht anderen das Geräusch Angst und sie warnen davor. Kann man sich mit dem bewussten Knackenlassen des Nackens durch ruckartige Drehungen schaden?
Die kurze Antwort ist: Wenn der Nacken unabsichtlich gelegentlich knackt, passiert in der Regel nichts Schlimmes – solange es schmerzfrei bleibt. Aber: Der Nacken ist ein empfindlicher Bereich und es ist nicht empfehlenswert, absichtlich mit ruckartigen Bewegungen ein Knacken auszulösen. Bei zu häufigem oder zu heftigem Knacken können durchaus Probleme entstehen.
Mögliche Folgen: Überdehnung der Bänder und Verletzungen
Wenn Sie Ihren Nacken zu heftig knacken, können Sie sich Verletzungen an den Gelenken oder Muskeln in diesem empfindlichen Bereich zufügen. Solche Mikrotraumata können die Halswirbel instabil machen und für weitere Probleme sorgen. Sie könnten Ihre Nerven reizen.
Selten, aber gefährlich: Es besteht das Risiko, durch starke ruckartige Bewegungen einen Riss in der Wirbelarterie zu verursachen. Das passiert selten, ist aber ein ernstzunehmender Notfall.
Wann ist es besonders gefährlich?
Je ruckartiger Sie Ihren Nacken drehen, desto riskanter. Unkontrollierte Bewegungen können Wirbel kurzzeitig verschieben. Bei Vorschäden (z. B. Arthrose, Bandscheibenproblemen) steigt durch die energischen, ruckartigen Bewebungen das Risiko für Blockaden, Nervenkompression und eine Verschlimmerung von Entzündungen.
Versuchen Sie, nicht absichtlich mit dem Nacken zu knacken, wenn:
- Sie Schmerzen dabei haben. Das könnte auf Verletzungen hindeuten.
- Sie Vorerkrankungen wie Osteoporose, Rheuma oder HWS-Probleme haben.
- Sie Schwindel oder Kribbeln dabei erleben. Das ist ein Warnsignal für Nerven-/Gefäßprobleme.

Wann zum Arzt? Vorsicht und Warnsignale
In den meisten Fällen ist das Knacken im Nacken beim Kopfdrehen harmlos. Trotzdem ist der Nacken ein empfindlicher Bereich: Es ist generell empfehlenswert, nicht absichtlich ruckartige Bewegungen auszuführen, um das Knacken auszulösen. Wenn das Knacken dauerhaft als Problem besteht und Sie sich über die Ursachen nicht sicher sind, empfehlen wir immer eine ärztliche Untersuchung.
Wenn Sie außer dem Knackgeräusch zusätzliche Beschwerden haben, sollten Sie auf jeden Fall ärztliche Beratung in Anspruch nehmen.
Schmerzen beim Knacken des Genicks
Wenn das Knacken im Genick mit stechenden oder dumpfen Schmerzen einhergeht, könnte das neben einem Gelenkverschleiß auch auf akute Verletzungen wie eine Wirbelblockade, Bandscheibenprobleme oder Muskelverhärtungen oder -verletzungen hinweisen. Chronische Schmerzen können ein Zeichen für degenerative Veränderungen sein. Beides sollten Sie ärztlich abklären lassen. Auch Kopfschmerzen nach dem Knacken können auf Gefäßprobleme oder Nervenreizungen hindeuten.
Schwindel oder Übelkeit, wenn das Genick knackt
Schwindel und Übelkeit können auf Gefäßprobleme hinweisen, die auf jeden Fall abgeklärt werden sollten. Zum Beispiel kann in manchen Fällen das Drehen des Kopfes ein Arterie einklemmen, wodurch das Gehirn kurzzeitig nicht mit Blut versorgt wird – das kann schnell gefährlich werden. Bei Schwindel in Kombination mit Nackenknacken suchen Sie also bitte einen Arzt oder eine Ärztin auf. Andere mögliche Ursachen sind Nervenreizungen oder Probleme mit der Halswirbelsäule. Auch diese können in manchen Fällen Gleichgewichtsstörungen verursachen.
Wichtig: Wenn akuter Schwindel und Lähmungserscheinungen zum Wirbelknacken dazukommen, rufen Sie bitte den Notarzt!
Kribbeln oder Taubheit beim Knacken im Nacken
Wenn der Nacken knackt und sich zusätzlich die Arme oder Hände taub anfühlen oder kribbeln, deutet das auf ein Problem mit Nerven hin.
Zum Beispiel kann ein Bandscheibenvorfall auf die Spinalnerven drücken. Auch eine Verengung im Wirbelkanal (zervikale Spinalkanalstenose) oder im Schulterbereich (Thoracic Outlet Syndrom) kann Nerven zusammenpressen und sie beeinträchtigen.
Suchen sie bei Taubheitsgefühlen ärztliche Hilfe: Mögliche Nervenschädigungen sollten definitiv verhindert bzw. behandelt werden.
Eingeschränkte Beweglichkeit beim Drehen des Kopfs
Wenn Sie Probleme bei der Drehbewegung des Nackens haben, ist eine ärztliche Abklärung in jedem Fall sinnvoll. Dahinter können Entzündungen stecken, Versteifungen der Nackenmuskulatur oder Verletzungen, die mit entsprechender Therapie verbessert bzw. behoben werden können. Auch, wenn sich der Kopf instabil anfühlt, suchen Sie bitte ärztliche Hilfe. Wenn der Nacken nicht nur knackt, sondern ein eher knirschendes Reibegeräusch hörbar ist, kann dies auf starken Verschleiß der Wirbel hindeuten.
Was kann man gegen das Knacken im Genick tun?
Wenn die Ursache in zugrundeliegenden Erkrankungen zu finden ist, kann sie nur mit ärztlicher Betreuung behandelt werden. Oft knacken die Gelenke aber aufgrund von Verspannungen und Fehlhaltungen, gegen die Sie auch selbst und vorbeugend etwas tun können.
Bewegung und Übungen zum Dehnen
Bewegung ist bei vielen Gelenkproblemen fast ein Allheilmittel. Regelmäßige Nackenübungen helfen, die Muskulatur zu lockern und Verspannungen vorzubeugen. Sie können zum Beispiel einen langen Arbeitstag am Schreibtisch immer wieder mit kleinen Bewegungspausen unterbrechen: Kreisen Sie die Schultern vorwärts und rückwärts und neigen Sie den Kopf langsam nach links und rechts.
Wärme und Entspannung
Gegen stressbedingte Verspannungen hilft oft Wärme und Entspannungsmethoden. Eine warme Dusche kann Wunder wirken, aber auch mit einem Kirschkernkissen können Sie gezielt Wärme auf Ihren Nacken bringen. Achten Sie darauf, sich nicht zu verbrennen. Auch Yoga oder progressive Muskelentspannung helfen bei stressbedingten Verspannungen.
Haltung korrigieren
Haltungsschäden durch Bildschirmnutzung sind sehr häufig. Vermeiden Sie langes Starren aufs Handy, besonders auch in ungünstigen Sitz- oder Liegepositionen. Es gibt Apps, die Ihre Bildschirmzeit kontrollieren oder Sie daran erinnern, Pausen einzulegen. Auch ein ergonomischer Arbeitsplatz ist essenziell: Eine gesunde Sitzhaltung entlastet die Halswirbelsäule.
Beim Schlafen wird manchmal empfohlen, mit einer Nackenrolle zu schlafen. Einige Expert:innen raten davon jedoch explizit ab, da diese Schonhaltung die Probleme im Nacken eher verstärkt. Stattdessen sollte auf Bewegung und Übungen gesetzt werden, die die Muskulatur gezielt stärken und lockern.
Professionelle Hilfe
Um die Ursachen professionell anzugehen, kann eine Physiotherapie hilfreich sein (manuelle Therapie, Massagen). Chiropraktiker und Osteopathen versuchen, durch vorsichtige Justierung von Wirbeln Blockaden zu lösen. Die schonende Mobilisation durch Profis hilft, sicherer die Ursachen von Knacken und Verspannungen anzugehen. Lassen Sie sich im Zweifel von medizinischem Fachpersonal beraten, welche Behandlung für Ihren Fall am vielversprechendsten ist. Auch Ihre örtliche Apotheke kann Ihnen erste Tipps geben. Hier geht's zu unserem Apotheken-Finder.

Fazit
In den meisten Fällen ist das gelegentliche Knacken im Nacken unbedenklich. Absichtliches, ruckartiges Knacken lassen Sie aber besser sein: Das kann auf Dauer schaden.
Durch Bewegung, Dehnung und eine gute Haltung können Sie Verspannungen vorbeugen. Treten jedoch Schmerzen oder andere Symptome auf, ist eine ärztliche Abklärung ratsam. Suchen Sie medizinischen Rat, wenn das Knacken schmerzhaft ist, neurologische Ausfälle (Kribbeln, Schwäche) auftreten, oder wenn Begleitsymptome wie Kopfschmerzen oder Schwindel hinzukommen.
Viele Ursachen sind gut behandelbar, wenn sie früh erkannt werden. Ihre Apotheke vor Ort kann Sie bei leichten Verspannungen auch kurzfristig beraten.
Foto von